¿Todavía no usas PMMA en tu clínica? Entonces estás perdiendo tiempo, control… y estética.
Cada día más clínicas dan el salto al flujo digital completo, y con ello, buscan materiales que estén a la altura de sus exigencias: rápidos, estéticos, resistentes y rentables.
Y hay un polímero que está redefiniendo cómo entendemos las restauraciones provisionales, las cargas inmediatas y las fases de diagnóstico funcional: el PMMA.
¿Te suena solo a provisionales baratos? Error. El PMMA de alta densidad, fresado o impreso en 3D, se ha convertido en una herramienta de precisión clave para laboratorios y clínicas dentales que trabajan con flujo digital CAD-CAM, rehabilitaciones inmediatas y odontología mínimamente invasiva.
En Medicam Laboratorio Dental Digital, trabajamos el PMMA con los más altos estándares técnicos: blocks multicapa, control de contracción, fresado optimizado y validación previa. ¿El resultado? Ajustes perfectos, estética natural y entregas en 3-5 días hábiles, sin errores, sin improvisaciones.
Si todavía dudas, aquí tienes:
1. ¿Qué es el PMMA?
El PMMA, o polimetilmetacrilato, es un polímero termoplástico ampliamente utilizado en odontología para la fabricación de prótesis dentales, férulas, provisionales y estructuras de ensayo. Su éxito radica en la versatilidad, biocompatibilidad y resistencia que ofrece, además de ser un material accesible y con múltiples presentaciones.






2. Propiedades del PMMA en Odontología
- ✅ Biocompatible: No genera reacciones adversas.
- ✅ Ligero y resistente: Adecuado para estructuras provisionales duraderas.
- ✅ Translúcido y pigmentable: Permite alcanzar buenos resultados estéticos.
- ✅ Estable en el tiempo: Mantiene sus propiedades mecánicas y ópticas.
- ✅ Fácil de manipular: Tanto en técnicas tradicionales como CAD-CAM.
3. Tipos de Prótesis Dentales Fabricadas con PMMA
En el entorno del laboratorio dental digital, el PMMA se emplea para:
- Prótesis completas provisionales
- Coronas y puentes temporales
- Estructuras para pruebas (try-in)
- Guías quirúrgicas
- Prototipos estéticos
- Bases de prótesis híbridas
- Carillas provisionales
4. Ventajas del PMMA en el Laboratorio Dental
- 🕒 Producción rápida: Perfecto para rehabilitaciones inmediatas.
- ⚙️ Excelente compatibilidad con CAD-CAM: Puede fresarse con altísima precisión.
- 💰 Coste más accesible que otros materiales: Ideal para fases transitorias.
- 🎯 Ajuste preciso y adaptable: En restauraciones complejas o sobre implantes.
- 🎨 Buena estética provisional: Acabados naturales y personalizados.
5. PMMA Fresado vs. PMMA Impreso en 3D
| Característica | PMMA Fresado | PMMA Impreso |
|---|---|---|
| Precisión | Muy alta | Alta |
| Estética | Natural, pulible | Variable según resina |
| Resistencia | Superior | Moderada |
| Producción | Requiere fresadora | Requiere impresora 3D |
| Aplicación | Prótesis completas, cargas inmediatas | Provisionales, férulas, pruebas |
En Medicam Laboratorio Dental Digital, usamos ambas tecnologías, seleccionando la más adecuada para cada caso clínico según las necesidades funcionales, estéticas y de tiempo.
6. Aplicaciones Clínicas Más Comunes
- Cargas inmediatas: Restauraciones sobre implantes en tiempo récord.
- Provisionales de larga duración: Ideales para tratamientos complejos.
- Fases de diagnóstico estético: Pruebas en boca para validar forma y color.
- Rehabilitaciones totales: Como prótesis completas en protocolos All-on-4 o All-on-6.
- Férulas de descarga: Alta resistencia y confort para el paciente.
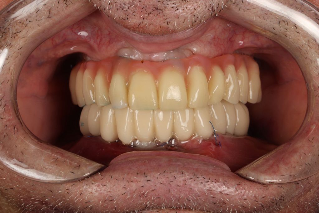
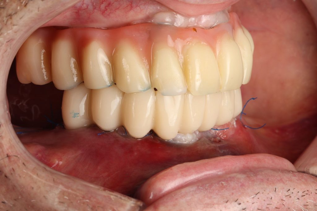
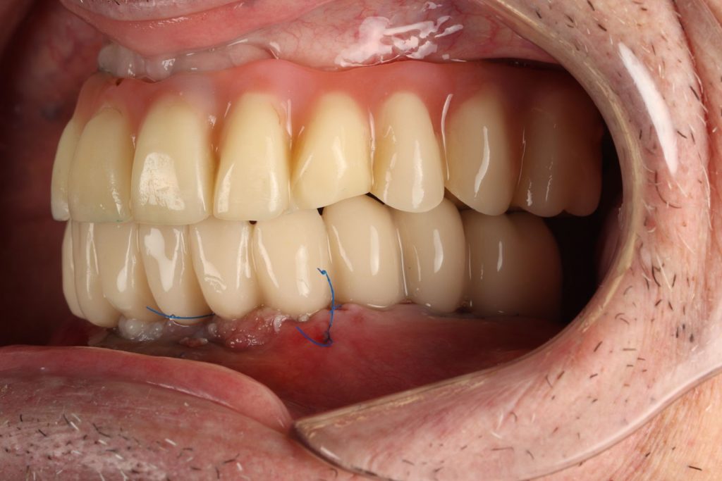
7. PMMA en Prótesis Provisionales: Agilidad y Estética
Uno de los usos más potentes del PMMA es como prótesis provisional fresada. Estas piezas se entregan en plazos muy reducidos (entre 3 y 5 días hábiles), y permiten al odontólogo:
- Verificar la estética y la función antes de la prótesis definitiva.
- Evitar que el paciente quede sin diente.
- Evaluar fonética, oclusión y confort.
- Proteger implantes recién colocados (carga inmediata).
Además, pueden maquillarse o estratificarse con composites para ganar en detalle y personalización.
8. Consideraciones Técnicas para su Manipulación
- 🔧 Fresado: El uso de herramientas afiladas y condiciones óptimas es clave para evitar el sobrecalentamiento.
- 🧼 Pulido y acabado: Puede lograrse un alto brillo mediante sistemas de pulido convencionales.
- 🔩 Cementado: Compatible con múltiples tipos de cementos temporales.
- 📦 Almacenaje: Requiere condiciones secas y controladas para evitar distorsiones.
9. Cuándo Elegir PMMA Frente a Otros Materiales
| Caso clínico | PMMA | Zirconio | Disilicato |
|---|---|---|---|
| Provisional temporal | ✅ | ❌ | ❌ |
| Carga inmediata | ✅ | ✅ | ❌ |
| Restauración final | ❌ | ✅ | ✅ |
| Ensayo estético | ✅ | ❌ | ✅ |
| Paciente con bajo presupuesto | ✅ | ❌ | ❌ |
El PMMA no es el sustituto de los materiales definitivos, pero es la mejor alternativa para fases intermedias, test de ajuste o tratamientos donde el tiempo y la economía son determinantes.
10. Conclusión: Por Qué Integrar PMMA en tu Flujo Digital
El PMMA, especialmente cuando se integra en un flujo CAD-CAM completo, permite a los dentistas ofrecer soluciones rápidas, estéticas y personalizadas, sin sacrificar calidad ni previsibilidad clínica.
En Medicam Laboratorio Dental Digital, utilizamos bloques de PMMA de alta densidad y pureza, seleccionando la mejor tecnología (fresado o impresión 3D) para cada indicación. Así garantizamos:
- Plazos cortos
- Ajustes precisos
- Estética cuidada
- Costes controlados
- Rehabilitaciones funcionales desde el primer momento
¿Trabajas con PMMA en tu clínica?
Solicita una prueba con nosotros y descubre cómo nuestra tecnología puede mejorar tus provisionales, pruebas o restauraciones inmediatas.





