Cuando la estética gingival marca la diferencia
En la rehabilitación de pacientes edéntulos, recuperar los dientes es solo una parte del tratamiento.
El verdadero reto está en devolver la armonía completa de la sonrisa, y eso implica trabajar no solo la forma y el color dental, sino también la encía.
Aquí es donde la encía cerámica se convierte en un elemento clave.
Permite recrear volúmenes, contornos y tonalidades gingivales con un nivel de realismo que transforma completamente el resultado final.
En Medicam laboratorio de prótesis dental en Alicante, ubicado en Alicante, somos especialistas en la fabricación de prótesis fijas superiores sobre implantes de zirconio con encía cerámica, integrando tecnología CAD-CAM, materiales de alta estética y acabado artesanal.
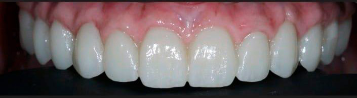
¿Qué es la encía cerámica en prótesis dentales?
La encía cerámica es una recreación artificial del tejido gingival realizada con materiales cerámicos, diseñada para imitar:
- Color
- Textura
- Translucidez
- Volumen natural de la encía
Se utiliza principalmente en:
- Rehabilitaciones completas sobre implantes
- Casos con pérdida ósea significativa
- Pacientes edéntulos con exposición gingival en sonrisa
A diferencia de otras soluciones (resinas o acrílicos), la cerámica permite un acabado más estable, natural y duradero.

Pacientes edéntulos: un reto clínico y estético
La rehabilitación de pacientes edéntulos implica mucho más que reponer dientes.
Con el tiempo, estos pacientes presentan:
- Pérdida de volumen óseo
- Alteración de la arquitectura gingival
- Cambios en la dimensión vertical
- Alteraciones en la sonrisa
Esto obliga a reconstruir no solo dientes, sino también el soporte facial y gingival.
👉 Aquí es donde la combinación de zirconio + encía cerámica ofrece una solución completa.
Prótesis fija superior sobre implantes de zirconio con encía cerámica
Este tipo de rehabilitación es una de las soluciones más avanzadas en odontología actual.
¿En qué consiste?
Se trata de una prótesis fija que:
- Se atornilla sobre implantes (habitualmente sobre Multi-Unit).
- Está fabricada en estructura de zirconio.
- Incorpora encía cerámica estratificada para simular el tejido natural.
Ventajas del zirconio en rehabilitaciones completas
El zirconio es el material base ideal para este tipo de prótesis por varias razones:
🔹 Resistencia estructural
Soporta cargas elevadas en arcadas completas.
🔹 Estabilidad a largo plazo
No sufre deformaciones ni desgaste significativo.
🔹 Biocompatibilidad
Excelente respuesta de tejidos blandos.
🔹 Estética mejorada (multilayer)
Permite resultados naturales incluso en grandes rehabilitaciones.
¿Por qué añadir encía cerámica?
En muchos pacientes edéntulos, especialmente en maxilar superior, es imposible conseguir una estética natural solo con dientes.
La encía cerámica permite:
- Recuperar volumen perdido
- Ocultar zonas de transición implante-prótesis
- Mejorar la proporción diente-encía
- Conseguir una sonrisa más natural
💡 Conclusión clínica: sin encía, la rehabilitación puede funcionar… pero no emocionar.
Indicaciones de prótesis con encía cerámica
Este tipo de solución está indicada en:
✔ Pacientes edéntulos totales
✔ Pérdida ósea avanzada
✔ Línea de sonrisa alta
✔ Necesidad de máxima estética
✔ Rehabilitaciones completas superiores
Diseño CAD-CAM en prótesis con encía cerámica
En nuestro laboratorio dental digital en Alicante, el diseño digital es clave:
- Control de volúmenes gingivales
- Simulación de sonrisa final
- Ajuste preciso sobre implantes
- Distribución de cargas
- Optimización estética antes de fabricar
El CAD-CAM permite anticipar el resultado final con un nivel de precisión que reduce incertidumbre clínica.
El papel del laboratorio dental en Alicante en estos tratamientos
Una rehabilitación de este nivel no puede depender de un laboratorio generalista.
Se necesita un laboratorio dental especializado en alta estética y rehabilitación completa, que controle:
- Diseño digital
- Selección de materiales
- Fresado de zirconio
- Estratificación cerámica
- Ajuste pasivo sobre implantes
En Medicam Alicante, trabajamos cada caso como un proyecto individual, no como una producción en serie.
Flujo de trabajo en rehabilitaciones con encía cerámica
1️⃣ Escaneado intraoral o modelo físico
2️⃣ Diseño CAD de estructura y encía
3️⃣ Validación con la clínica
4️⃣ Fresado de zirconio
5️⃣ Estratificación de encía cerámica
6️⃣ Prueba en clínica
7️⃣ Ajuste final y entrega
Este flujo garantiza:
- Precisión
- Reproducibilidad
- Resultados predecibles
Diferencia entre encía cerámica y encía acrílica
| Característica | Encía cerámica | Encía acrílica |
|---|---|---|
| Estética | Muy alta | Media |
| Durabilidad | Alta | Media |
| Estabilidad color | Excelente | Puede variar |
| Acabado | Natural | Menos realista |
| Mantenimiento | Bajo | Mayor |
Alicante: centro de referencia en odontología digital
Nuestro laboratorio dental en Alicante nos permite:
- Colaboración directa con clínicas locales
- Respuesta rápida en casos complejos
- Envíos a toda España
- Soporte técnico personalizado
Nos posicionamos como un laboratorio dental digital especializado en rehabilitación completa y estética avanzada en Alicante.
Beneficios clínicos de estas rehabilitaciones
✔ Estética superior (diente + encía)
✔ Mayor satisfacción del paciente
✔ Resultados más naturales
✔ Ajuste pasivo y precisión digital
✔ Durabilidad a largo plazo
✔ Menor mantenimiento
Conclusión: reconstruir sonrisas completas, no solo dientes
La rehabilitación de pacientes edéntulos ha evolucionado.
Hoy, el objetivo no es solo devolver función, sino recrear una sonrisa completa, natural y estable.
La combinación de:
- Zirconio
- Encía cerámica
- CAD-CAM
- Experiencia protésica
permite lograr resultados que antes eran impensables.
En Medicam Laboratorio Dental Digital, trabajamos para que cada rehabilitación no solo funcione, sino que emocione al paciente desde el primer momento.
Preguntas frecuentes
¿Qué es la encía cerámica en prótesis dental?
Es una recreación estética del tejido gingival mediante cerámica, utilizada en rehabilitaciones completas para lograr mayor naturalidad.
¿Cuándo es necesaria la encía cerámica?
En pacientes edéntulos con pérdida ósea o exposición gingival en sonrisa.
¿Qué ventajas tiene el zirconio en prótesis completas?
Alta resistencia, estabilidad, biocompatibilidad y excelente estética.
¿Qué diferencia hay entre encía cerámica y acrílica?
La cerámica ofrece mayor estética, durabilidad y estabilidad de color.
¿Se puede hacer este tipo de tratamiento en Alicante?
Sí, en Medicam trabajamos con clínicas de Alicante y toda España en rehabilitaciones completas digitales.
¿El laboratorio influye en el resultado final?
Totalmente. Diseño, materiales y acabado dependen del laboratorio dental.





